Upale zubnog mesa – gingivitis i parodontitis
Autorica teksta i fotografija: doc.dr.sc. Larisa Musić, Zavod za parodontologiju
U svakodnevnom govoru dio oralne sluznice koja prekriva kost u kojoj se nalaze zubi nazivamo zubnim mesom ili desnima. Stručni naziv za zubno meso jest gingiva, i iz ove se riječi izvodi gingivitis, naziv za površinsku upalu zubnog mesa.
Zub je za kost vezan tzv. parodontnim ligamentom, koji osigurava da zub ne ispadne iz kosti, ali ujedno omogućava i male pomake zuba. Tako se, primjerice, prilikom žvakanja zub lagano utiskuje unutar prostora u kojem se nalazi.
Kada se gingivitis ne liječi, kod pojedinaca dođe do nastanka uznapredovalijeg oblika bolesti, parodontitisa. U parodontitisu upala zubnog mesa potiče proces gubitka kosti koji može trajati do kad se zub sam prirodno ne „oljušti“. Važno je naglasiti da gingivitis, koji predstavlja površinsku upalu, uvijek prethodi razvoju parodontitisa. Dakle, svaka osoba s parodontitisom u nekom je trenutku ranije imala gingivitis koji nije bio prepoznat ili adekvatno liječen.
Upalne bolesti zubnog mesa su veoma česte. Gingivitis je najčešći u djece, dok se parodontitis obično javlja nakon punoljetnosti. Najčešće se razvije nakon 35. godine života, ali zbog toga što ne daje bolne simptome se uglavnom detektira godinama nakon što se razvio.
Glavni uzročnik obiju upala su bakterije: bakterijska naslaga uz ili ispod ruba zubnog mesa izaziva imunološku reakciju i potiče razvoj upale.
Iako se parodontitis često povezuje s klimavošću zuba i njihovim gubitkom, posljedice ove bolesti prelaze granice usne šupljine. Snažni znanstveni dokazi ukazuju da osobe s parodontitisom imaju veći rizik narušenog općeg zdravlja zbog ulaska bakterija iz usne šupljine u krvotok i njihovog štetnog djelovanja na udaljenim organima. Najsnažnija povezanost parodontitisa je s povećanim rizikom od razvoja kardiovaskularnih i šećerne bolesti.
Simptomi upale zubnog mesa
Kao što je prethodno navedeno, parodontitis se prekasno dijagnosticira jer ne daje bolne simptome. Niti gingivitis, niti parodontitis ne uzrokuju bol. Bol je, ipak, onaj simptom zbog kojeg većina osoba potraži pomoć doktora dentalne medicine. Ipak, postoje jasni znakovi upale zubnog mesa koje treba pravovremeno primijetiti.
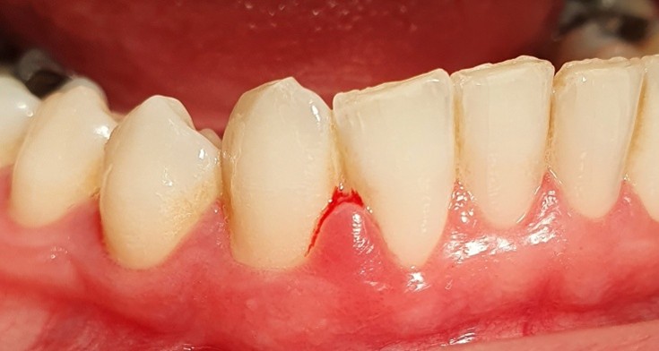
Krvarenje je prvi, glavni, a ujedno najzanemareniji simptom upale zubnog mesa. Zdravo zubno meso ne krvari, ni samo od sebe, ni prilikom higijene (četkanje, čišćenje koncem/interdentalnim četkicama). Mnogi krvarenje zubnog mesa doživljavaju kao uobičajeno stanje i ne pridaju mu pozornost te ujedno izbjegavaju čišćenje koncem ili interdentalnim četkicama jer krvarenje primjećuju upravo tada. To je pogrešno jer izbjegavanje čišćenja omogućava dodatno nakupljanje bakterija i pogoršanje upale. Krvarenje bi trebalo biti alarm! Posebno je važno naglasiti da kod pušača krvarenje zubnog mesa često izostaje, što dovodi do kasnog otkrivanja parodontitisa u toj skupini.

Krvarenje zubnog mesa između zubi
Izgled zubnog mesa isto može ukazivati na njegovu upalu. Zdravo zubno meso je svjetlo ružičasto, čvrsto na dodir i ne krvari. U upali postaje crveno, otečeno i osjetljivo na podražaj.

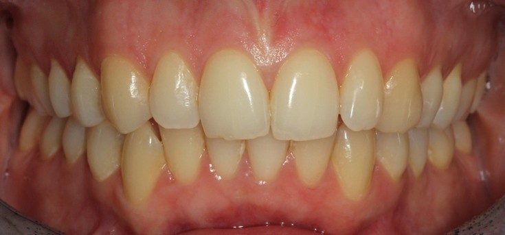
Izgled zdravog zubnog mesa

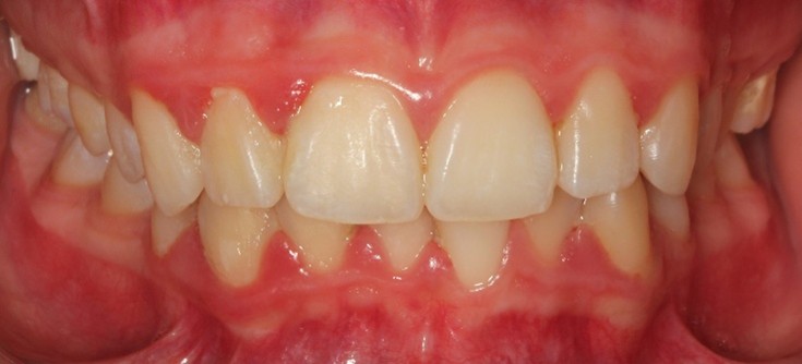
Upaljeno, otečeno zubno meso kod pacijentice s gingivitisom
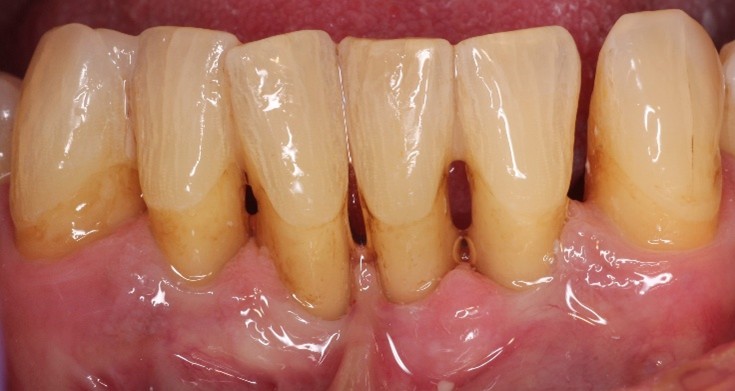
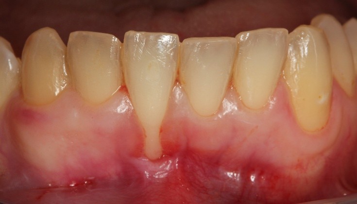
Povlačenje zubnog mesa (recesija) nije uvijek znak parodontitisa. Ako se zubnog meso povlači oko cijelog zuba i između zubi postoji prazan prostor, tada je najčešći razlog upravo parodontitis. No, ako je povučeni dio samo na jednoj plohi zuba (najčešće na vanjskoj), uzroci mogu biti presnažno četkanje, mehanička ozljeda, piercing ili se može pojaviti tijekom/nakon ortodontske terapije.

Povlačenje zubnog mesa kao posljedica parodontitisa

Povlačenje zubnog mesa koje nije posljedica parodontitisa
Povećana pomičnost zuba posljedica je gubitka kosti oko zuba i smanjene potpore koju kost daje zubu. Povećana pomičnost nije nužno razlog za vađenje zuba te se pomičnost uobičajeno smanjuje nakon provedene terapije parodontitisa.
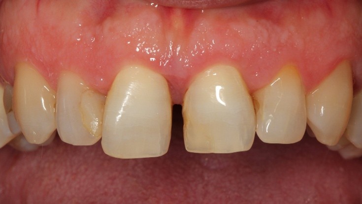
Promjene položaja zubi također su uobičajene zbog smanjenja potpore kosti i pomicanja uslijed djelovanja sila tijekom svih oralnih funkcija. Mogu se pojaviti razmaci (dijasteme) između zuba koji su ranije bili priljubljeni, ili se zubi mogu nagnuti, često prema naprijed.

Pomak zuba i otvaranje prostora između središnjih sjekutića kao posljedica parodontitisa
Zadah se rijetko spominje zbog socijalne nelagode koju izaziva, ali čest je simptom upala zubnog mesa. Iste bakterije koje izazivaju upalu zubnog mesa stvaraju i neugodni miris koji se širi iz usne šupljine. Uspješnim liječenjem upale nestaje i zadah.
Ako primijetite bilo koji od navedenih simptoma, preporučuje se posjet doktoru dentalne medicine. Tijekom redovnih polugodišnjih pregleda zatražite i procjenu zdravlja zubnog mesa. Ako to bude potrebno, doktor dentalne medicine će vas uputiti specijalistu parodontologije.